症例紹介info
症例紹介info
-
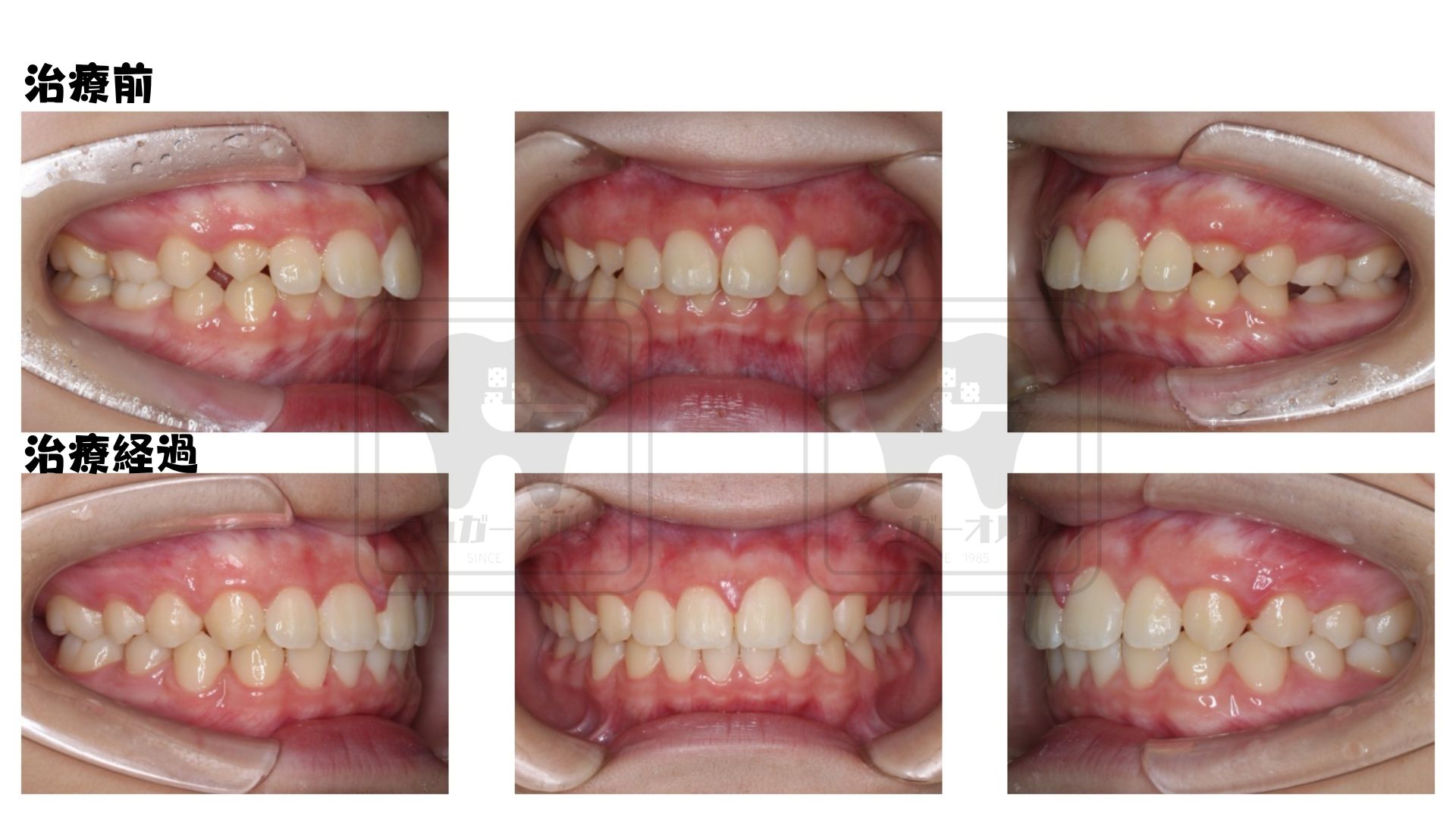
症例紹介 2025.10.28
表側ワイヤ矯正・インビザライン矯正(抜歯症例)
-
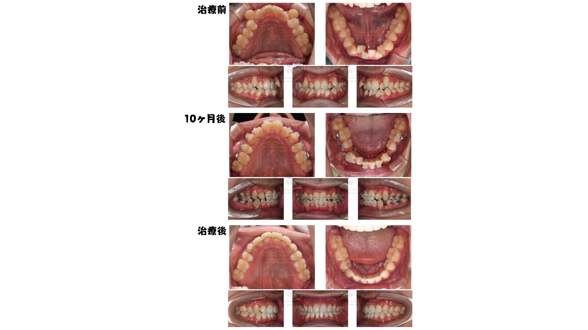
症例紹介 2025.10.21
表側ワイヤー矯正(抜歯症例)
-
症例紹介 2025.10.21
表側ワイヤー矯正(抜歯症例)
-
症例紹介 2025.10.06
インビザライン 過剰歯抜歯症例
-
症例紹介 2025.09.09
インビザライン非抜歯症例
-
症例紹介 2025.07.15
表側ワイヤー(下顎第二小臼歯先天性欠如歯)
-
症例紹介 2025.06.09
表側ワイヤー矯正(抜歯症例)
-
症例紹介 2025.04.11
表側ワイヤー矯正(抜歯症例)
-
症例紹介 2025.04.11
インビザライン(非抜歯)・叢生・反対咬合症例

