医院からのお知らせInfo
- 大井町駅徒歩1分の歯医者「シュガー矯正歯科大井町」TOP
- 医院からのお知らせ
-
お知らせ 2025.11.05
ホワイトニングキャンペーン・ホワイトニング価格変更のお知らせ
-
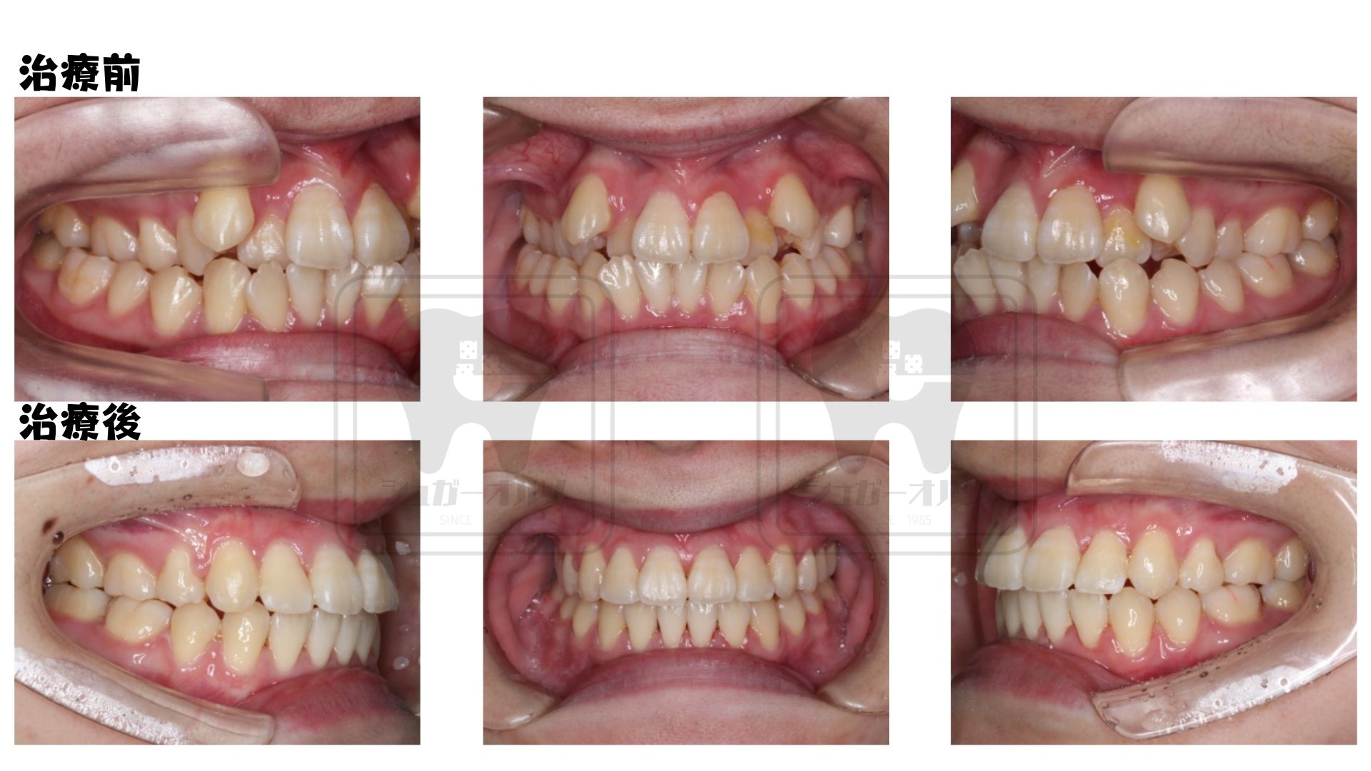
症例紹介 2025.10.28
表側ワイヤ矯正・インビザライン矯正(抜歯症例)
-
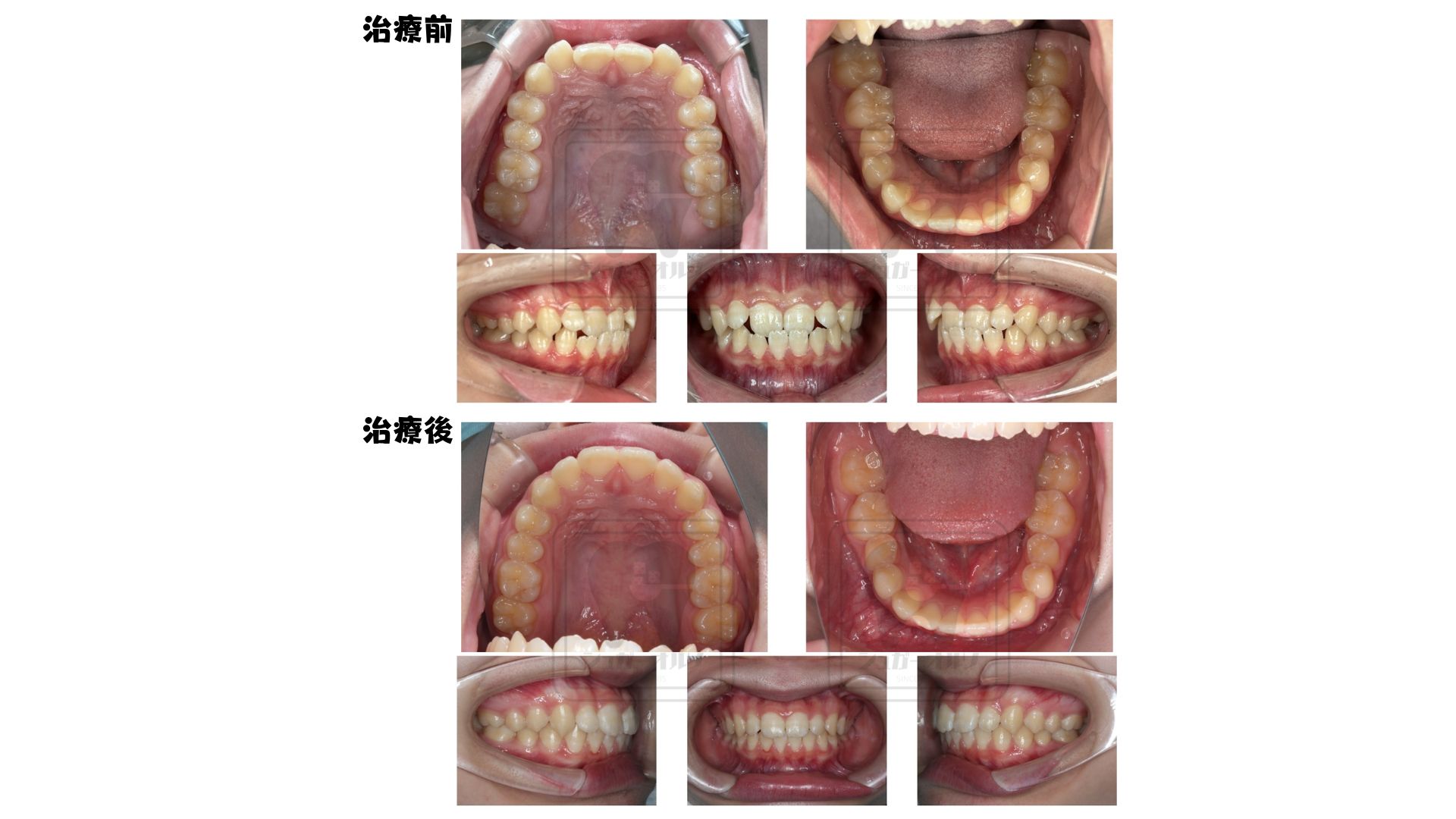
症例紹介 2025.10.21
表側ワイヤー矯正(抜歯症例)
-
症例紹介 2025.10.21
表側ワイヤー矯正(抜歯症例)
-
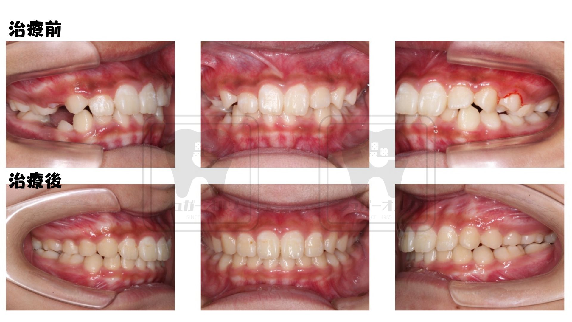
症例紹介 2025.10.06
インビザライン 過剰歯抜歯症例
-
症例紹介 2025.09.09
インビザライン非抜歯症例
-
症例紹介 2025.07.15
表側ワイヤー(下顎第二小臼歯先天性欠如歯)
-
症例紹介 2025.06.09
表側ワイヤー矯正(抜歯症例)
-
お知らせ 2025.04.14
実は…院長、東京都から表彰されてました!

